歯並びチェック
お子さまの歯並びがご心配な方や、幼稚園・小学校の歯科検診で「不正咬合」にチェックがついた方は、お子様の歯並びをご家庭でチェックしてみてください。
年齢ごとに、問題ないと考えられる歯並びの特徴と写真を下記にお示ししています。該当しないようであれば、一度ご相談ください。確実な不正咬合の診断には精密検査が必要です。
3〜5歳頃のお子様
- 上下の前歯の歯と歯の間に隙間はありますか?
- 上の前歯がわずかに下の前歯を覆うような咬み合わせですか?
- 上の前歯が下の前歯よりもわずかに前にある咬み合わせですか?
- 上の前歯の真ん中と下の前歯の真ん中は一致していますか?
| 3〜5歳頃 |
|---|
|
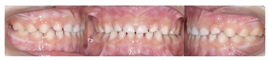
6〜10歳頃のお子様
- 前歯が重なり合って生えてきていませんか?
- 上の前歯が下の前歯を2mm程度、覆うような咬み合わせですか?
- 上の前歯が下の前歯の2mm程度前にある咬み合わせですか?
- 上の前歯の真ん中と下の前歯の真ん中は一致していますか?
| 6〜10歳頃 |
|---|
|
| 6〜10歳頃 |
|---|
|
| 6〜10歳頃 |
|---|
|













